Uzman Doktorlardan 1 Ekim Uluslararası Yaşlılar Günü Mesajı 1 Ekim Uluslararası Yaşlılar Günü dolayısıyla, yaşlı bireylerin yaşam kalitesini artırmaya yönelik önemli mesajlar verildi. Mehmet Akif İnan...
Uyurken Sık Sık Uyanıyor Musunuz? Uzmanlar Nedenini Açıkladı Araştırmalar, mavi ışık maruziyetinin ötesinde, uykunun kalitesini kökten bozarak ruhsal durumu olumsuz etkilediğini ortaya koydu. Uyku düz...
Şanlıurfa Eğitim ve Araştırma Hastanesinden “Şeker Tüketimine Dikkat” Uyarısı Bu19–25 Eylül Şeker Tüketimine Dikkat Haftası kapsamında, Şanlıurfa Eğitim ve Araştırma Hastanesi İç Hastalıkları Uzmanı Dr. Zeynep Seray Öz...
Balıklıgöl Devlet Hastanesi’nden Grip Aşısı Uyarısı Dr. Başak AYDEMİR Balıklıgöl Devlet Hastanesi’nde aile hekimliği uzmanı olarak çalışmaktayım. Bugün sizlere grip aşısı hakkında bilgi vermek...
Şanlıurfalı kadınları bu haber ciddi şekilde ilgilendiriyor Dr. Tümkaya, özellikle doğum yapmış kadınlarda görülen bu hastalığın, kasık ve karın altı bölgesinde uzun süren ağrılara yol açtığını be...
Şanlıurfa İl Sağlık Müdürlüğü’nde Gerçeği Aratmayan Tatbikat Şanlıurfa İl Sağlık Müdürlüğü, afet ve acil durumlara hazırlık kapsamında önemli bir organizasyona daha imza attı. 15-17 Eylül 2025 tarihl...
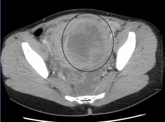
Viranşehir Devlet Hastanesi’nde Başarılı Rektum Kanseri Ameliyatı Viranşehir Devlet Hastanesi, başarılı bir rektum kanseri ameliyatına daha imza attı. Karın ağrısı ve uzun süredir devam eden kabızlık şikâye...
Karaciğeri temizliyor, kemikleri güçlendiriyor! Yaygın bir "ot" olarak görülen hindiba (Taraxacum officinale), bilimsel araştırmalarla kanıtlanan etkileriyle karaciğer sağlığını yeniliyor ...